충치 크라운 치료 전 필수 단계, ‘레진 코어’란?
- 기자명 김남균 연세굿플란트치과의원 전문의
- 입력 2025.02.07 10:00

치과 진료는 많은 사람들에게 두려움을 유발합니다. 특히 신경치료는 ‘치아의 신경을 제거한다’는 개념 때문에 걱정을 불러일으킬 수 있습니다. 그러나 신경치료는 치아를 살리기 위한 마지막 수단이자 감염된 신경을 제거하고 건강한 치아를 유지하는 중요한 과정입니다. 신경을 제거한 후에도 치아를 보호하기 위한 추가적인 조치가 필요합니다.
신경치료를 받은 치아는 내부 구조가 약해져 쉽게 깨질 위험이 큽니다. 따라서 치아 강도를 보강하고 장기적인 구강 건강을 유지하기 위해 크라운을 씌우는 과정이 필수적입니다. 크라운 치료가 안정적으로 자리 잡으려면 ‘레진코어’라는 보강 과정이 반드시 선행되어야 합니다.
신경치료와 크라운 세팅 사이의 필수 단계, 레진코어
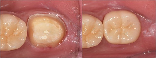
신경치료는 치아 내부의 감염을 제거하고 신경관을 밀봉하는 치료입니다. 그러나 신경치료 후 치아 내부가 비어 있는 상태가 되면 구조적으로 매우 취약해지고, 외부 충격에 쉽게 손상될 가능성이 커집니다. 이를 보완하기 위해 시행하는 과정이 바로 레진코어입니다. 레진코어는 치아 내부의 빈 공간을 생체친화적인 복합 레진으로 채워 강도를 보강하고, 크라운이 안정적으로 고정될 수 있도록 돕는 역할을 합니다. 단순히 공간을 메우는 것이 아니라, 크라운 치료의 성공을 보장하고 치아의 장기적인 건강을 유지하는 핵심적인 단계인 것이죠.
레진코어를 시행하지 않으면 치아 내부로 세균이 침투하여 감염이 재발할 위험이 커지고, 크라운이 제대로 고정되지 않아 물리적 압력을 견디지 못해 추가 손상이 발생할 가능성이 높아집니다. 또한, 레진코어는 씹는 힘을 고르게 분산시켜 크라운의 내구성을 높이는 역할을 합니다. 이 과정을 거치지 않으면 크라운이 정상적인 기능을 수행하기 어려우며, 치아 수명이 단축될 수 있습니다. 따라서 레진코어는 충치나 감염으로 약해진 치아를 보호하고, 장기적인 구강 건강을 유지하는 데 필수적인 과정이라 할 수 있습니다.

인레이 vs 크라운, 치료 과정 차이점은?
인레이와 크라운 치료는 모두 치아를 복원하는 과정이지만, 적용 범위와 치료 과정에 차이가 있습니다.
인레이의 경우, 먼저 충치 부위를 제거한 후 본을 떠 맞춤형 인레이를 제작합니다. 제작이 완료되면 인레이를 손상된 부위에 끼워 넣고 접착제로 고정합니다. 이 과정은 대개 2주 정도 소요되며, 그동안 임시 충전제를 사용해 치아를 보호합니다.
크라운의 경우에도 충치 부위를 제거한 후 치아 내부의 모양을 다듬고, 치아 본을 떠서 맞춤형 크라운을 제작합니다. 그러나 크라운은 치아 전체를 덮기 때문에, 치아를 갈아내는 과정이 포함되며 이로 인해 2~3주 정도의 시간이 필요할 수 있습니다. 제작 기간 동안에는 임시 크라운을 사용해야 일상적인 기능을 수행할 수 있습니다.
크라운 치료 성공, 레진코어가 좌우한다
크라운 치료는 단순히 치아를 덮는 치료가 아닙니다. 치아 내부 구조를 복원하고 안정적인 기반을 제공하는 레진코어가 선행되어야 크라운이 제 역할을 다할 수 있습니다. 이를 통해 치아의 강도를 높이고, 오랜 기간 동안 건강한 치아 상태를 유지할 수 있습니다. 정기적인 치과 점검과 관리로 치료 후에도 구강 건강을 유지하는 것이 중요합니다.
레진코어는 단순한 보조 과정이 아닌, 크라운 치료의 성공을 위한 필수적이고 결정적인 단계임을 꼭 기억하길 바랍니다.
글 = 김남균 원장(연세굿플란트치과의원 치과 전문의)
